1re Européenne À Saint Joseph - Pour le traitement d’une complication grave des maladies du foie grâce à l’endo-hépatologie

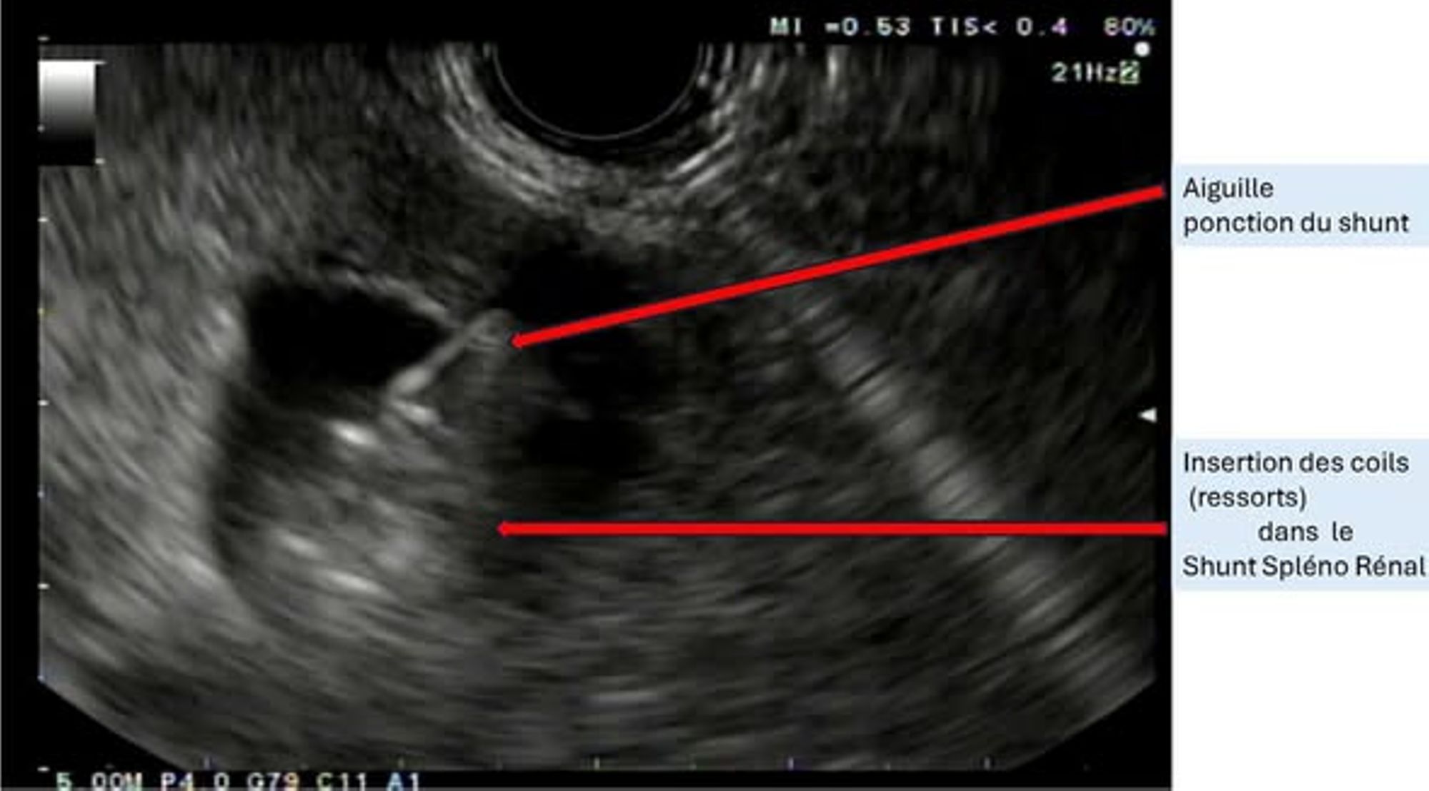
Le Dr Paul CASTELLANI, hépato-gastroentérologue à l’Hôpital Saint Joseph, vient de réaliser une avancée médicale remarquable dans la prise en charge de l’encéphalopathie hépatique, complication grave des maladies du foie, grâce à l’utilisation de l’écho-endoscopie.

L’encéphalopathie hépatique est un trouble neurologique sérieux qui peut survenir lorsque le foie est très malade et ne filtre plus correctement les substances toxiques produites par l’organisme. Ces substances peuvent alors atteindre le cerveau et provoquer des troubles importants : confusion, somnolence, troubles de la mémoire, voire perte de conscience.

L’intervention a consisté à réaliser une embolisation, au cours d’une endoscopie, des vaisseaux qui court-circuitent l’élimination des substances toxiques chez un patient souffrant d’une maladie grave du foie compliquée d’épisodes répétés et invalidants de cette encéphalopathie hépatique.

Le geste s’est déroulé sans complication, lors d’une écho-endoscopie habituelle, sous anesthésie générale.

Bravo au Dr CASTELLANI et au service d’Hépato-Gastroentérologie du Dr Xavier ADHOUTE et ses confrères, réputés pour leur expertise dans la prise en charge des patients porteurs de maladies sévères du foie, particulièrement grâce au recours à l’endo-hépatologie.

Partager la page