Du nouveau pour le traitement de l’endométriose pariétale abdominale

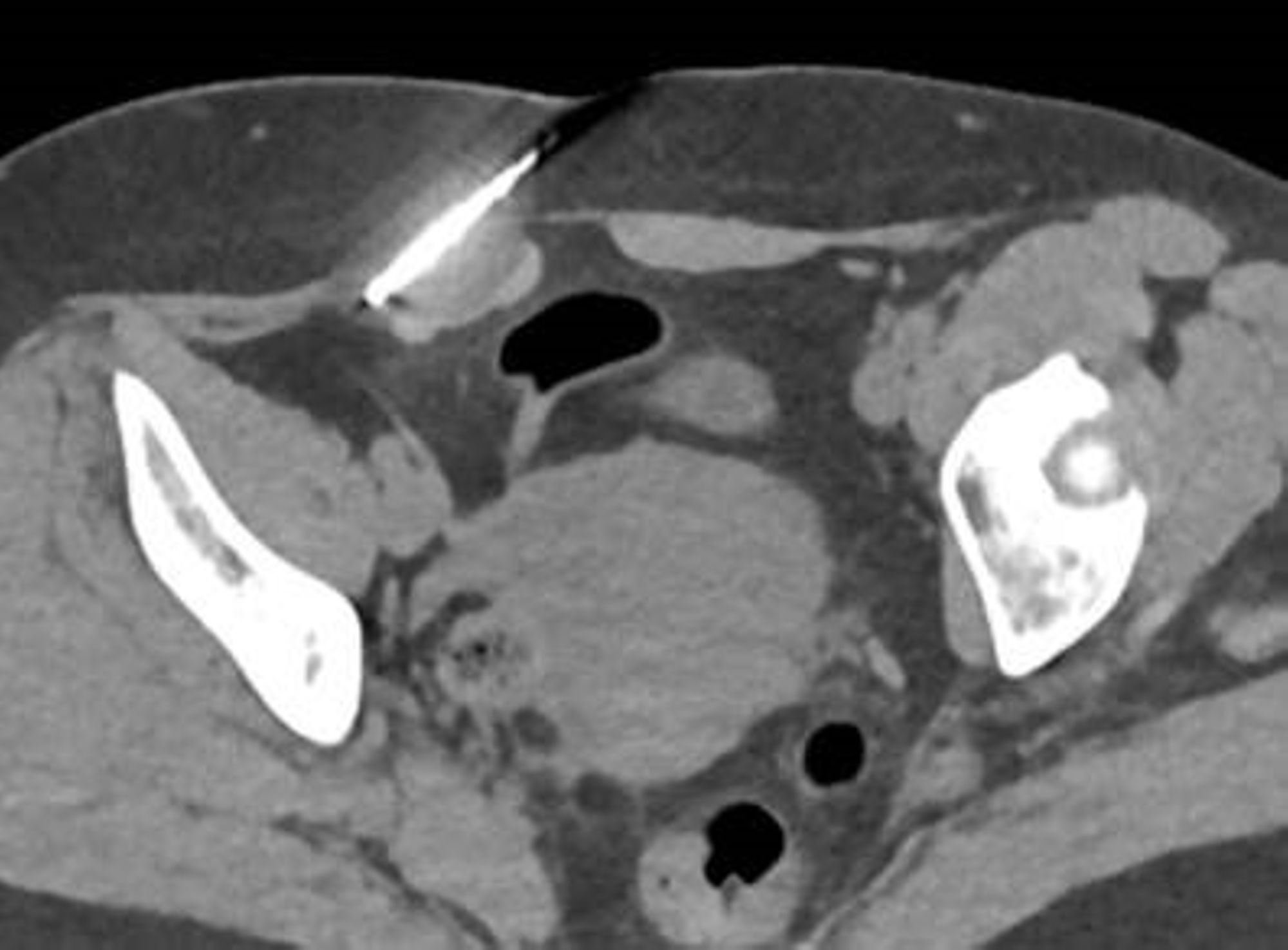
Les radiologues interventionnels de l'Hôpital peuvent désormais réaliser des cryothérapies de nodules d'endométriose pariétale en utilisant de manière mini-invasive le froid extrême (-40°C) pour leur traitement. Un glaçon va se former et faire ainsi nécroser la lésion et la dévasculariser. Le nodule va se résorber sous quelques semaines et ne plus réagir au cycle hormonal.

L’endométriose pariétale est une pathologie rare. Il s’agit néanmoins de la forme la plus fréquente d’endométriose extra-pelvienne, touchant la paroi abdominale. Elle se déclare généralement dans les 2 ans suivant une intervention chirurgicale abdomino-pelvienne et a un impact majeur sur la qualité de vie avec principalement des douleurs rythmées par les règles et des tuméfactions ou nodules palpables sur la paroi du ventre à proximité de cicatrice (césarienne, trocarts de coelioscopie...).

La cryothérapie permet leur traitement simple et rapide sans cicatrice, de manière mini invasive en alternative à la chirurgie, en préservant la paroi abdominale, le tout en ambulatoire.

Pour plus d'informations :

Partager la page